“My philosophy is to treat my patients like my own family. That’s why I will treat you with gentle, friendly care and offer you prompt appointments that respect your time. Whatever I can do to make your visit more comfortable and give you a healthier, more attractive smile, I’ll strive to make it happen.” -Dr. Kosta
Stefanie, dental assistant, never hesitates to hold a hand or offer a warm smile! We love watching her assist Dr. Kosta and our patients with her tender-hearted care.
Achieving a beautiful smile may be as simple as having your teeth whitened. Dr. Konstantinos Proussaefs offers professional teeth whitening treatments that will transform your smile in as little as one visit! These simple, painless, and highly effective treatments can make a world of a difference.
If you are considering teeth whitening we invite you to contact us at 805-526-8296 today to schedule your appointment with our dentist.
A dental crown, or cap, is a restoration that can be used for a number of purposes. One of the most common uses of a dental crown is to restore a tooth that is significantly damaged or decayed. The crown is custom made to fit over the entire tooth, starting at the gum line, in order to restore the tooth to its original shape and size. Dental crowns can be made of gold, porcelain, or porcelain fused to metal; porcelain crowns are popular because they match the natural color and appearance of your teeth. Our dentist will help you determine which type of dental crown is right for your smile.
Your smile may benefit from a crown if a tooth is damaged or decayed to the point that a dental filling will not provide a successful restoration. Crowns can also be used for a number of other restorative and aesthetic purposes, including:
To protect a tooth following root canal treatment
To anchor and attach a dental bridge
To cover and complete a dental implant
To enhance the beauty of your smile
To improve a misshapen tooth
To strengthen a tooth that is fractured or weakened
To support a large filling when little natural tooth structure remains
To find out whether a dental crown is right for you, we welcome you to contact us today! 805-526-8296
Dental implants are great for permanently replacing one or more missing teeth. Because implants are permanent and are anchored into your jawbone, they are sturdy and provide lasting function and structure to your smile.
Our dentist can provide you with natural-looking dental implants, which will fit comfortably and securely in your smile. When you receive a dental implant from Dr. Konstantinos Proussaefs, you don’t have to worry about hiding your gapped teeth any more.
Please feel free to call us at 805-526-8296 and schedule your consultation for dental implants in Simi Valley, California.
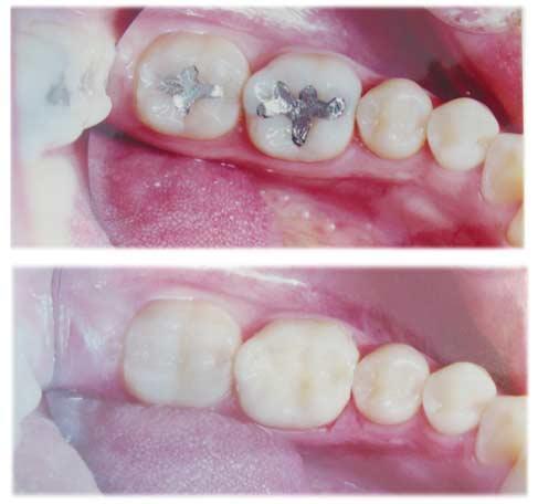
We are a mercury-free practice! If you require a dental filling in Simi Valley, California, Dr. Konstantinos Proussaefs will remove the damaged parts of your teeth and repair them with a composite, tooth-colored filling. For patients who have old silver fillings, our dentist also replaces them with composite fillings.
To schedule your appointment at our office, we welcome you to contact us at 805-526-8296 today!
Dr. Konstantinos Proussaefs may recommend a tooth extraction for a variety of reasons, including health or cosmetic reasons. After conducting a thorough oral examination, our dentist will determine if having a tooth extraction in Simi Valley, California, is right for you. We strive to ensure that each patient remains comfortable throughout their treatments, and a tooth extraction is no exception; our team will help make your procedure as enjoyable and relaxing as possible.
Please contact us today at 805-526-8296 to schedule your appointment.
Periodontal disease is a serious infection of the gums that can cause major and permanent damage if it is left untreated. Dr. Konstantinos Proussaefs is trained and experienced in identifying the signs of periodontal disease and providing necessary treatment to treat and monitor any infection. With regular treatments of periodontal maintenance in Simi Valley, California, our dentist can help you keep your smile healthy and beautiful. If you require more advanced treatments, our dentist will recommend you to a periodontist.
Please contact our office at 805-526-8296 today for more information and to schedule your consultation.
Root canals are common dental procedures that remove the inner pulp and nerve of an infected tooth. Because our team wants to help you preserve all of your natural teeth, our dentist may recommend a root canal if your tooth is greatly damaged or decayed. Those who receive a root canal in Simi Valley, California, from Dr. Konstantinos Proussaefs can rest assured that their smile is in safe, capable, and gentle hands.
Please feel free to contact us at 805-526-8296 with any questions you may have, and to schedule your appointment.
Correct misshaped, crooked, gapped, or discolored teeth with dental veneers in Simi Valley, California! These porcelain “shells” are custom made to fit your smile and Dr. Konstantinos Proussaefs will adhere them to your natural teeth to give you a quick and painless smile transformation. Plus, veneers are durable, so you can keep your new smile for years to come.
For more information and to schedule your appointment with our dentist, we invite you to contact us at 805-526-8296 today!
If you are missing a tooth or a row of teeth, Dr. Konstantinos Proussaefs may recommend a dental bridge. All of your teeth are necessary for good oral health, and for proper chewing and speaking. Having all your teeth also prevents them from moving, and by replacing your missing teeth with a dental bridge in Simi Valley, California, you can preserve your teeth’s alignment and your oral health.
For more information about how restorations can help your oral health, we invite you to contact us at 805-526-8296 and schedule an appointment with our dentist.
For patients who are missing some or all of their teeth, we offer complete dentures. For either your upper arch, lower arch, or both, our dentist can create customized dentures that not only look real but work like your natural teeth. Dr. Konstantinos Proussaefs will ensure that your dentures in Simi Valley, California, fit comfortably and provide the necessary support to your smile and facial structure.
We invite you to contact our office at 805-526-8296 for more information, and if you would like to schedule your consultation.